Santiago
Coquimbo
info@esteticaoral.cl clinicadentalcoquimbo@gmail.com
Av. Videla 182 Coquimbo.
+512 314 312
Hernando de Aguirre 194 - Of. 42 Metro Tobalaba - Providencia.
+5622 234 0439
+56 9 3459 2215
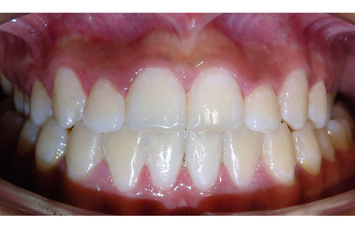
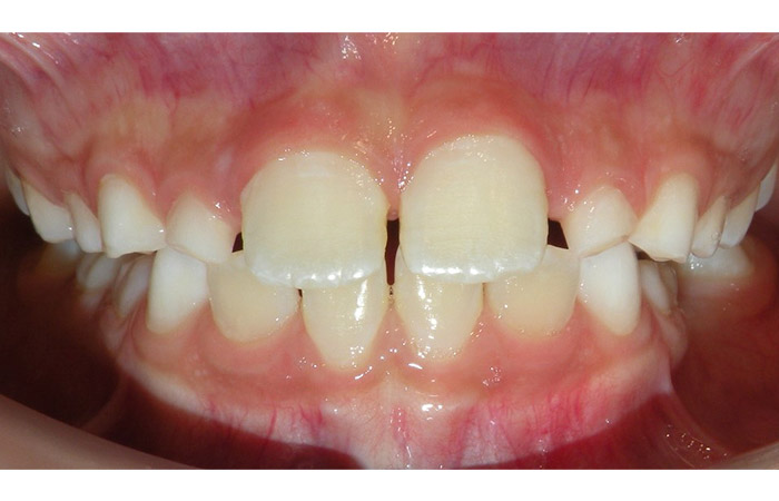
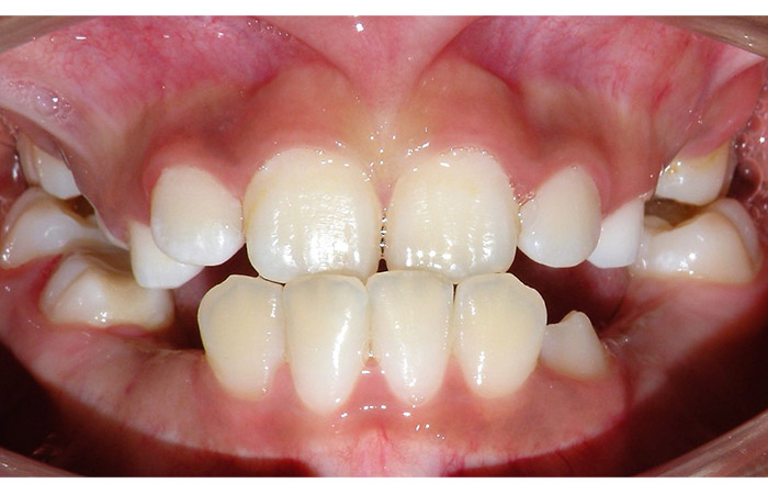
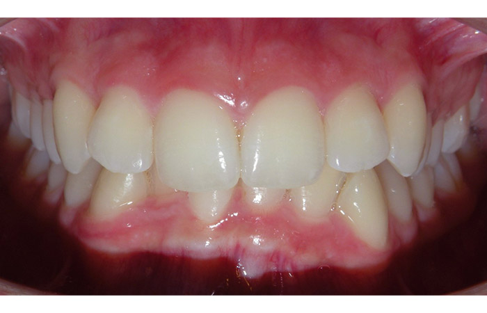
Casos Clínicos (4)